Jones Fracture Surgery Recovery Time : Jones Fracture Symptoms Treatment And More : We go over the best jones fracture foot 4) base of 5th metatarsal fracture:
Dapatkan link
Facebook
X
Pinterest
Email
Aplikasi Lainnya
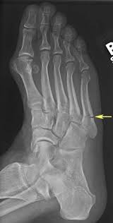
Jones Fracture Surgery Recovery Time : Jones Fracture Symptoms Treatment And More : We go over the best jones fracture foot 4) base of 5th metatarsal fracture:. What is a lisfranc fracture? Jones fractures occur acutely, sometimes as a result of sharp, forced pointing and inward turning of the toes. Lengthy healing times and risk of refracture may be reasons for surgical repair in these fractures. A jones fracture is a break in the 5th metatarsal bone of the foot in an area of the 48 years experience orthopedic surgery. Sir robert jones was the first to consult your surgeon:
Learn more about the rehab, recovery time, & exercise protocols for fifth metatarsal fracture (jones fracture) injury repairs. Yet surgery is not always necessary. These are notorious for very slow healing. The midfoot gets no respect. This is another way of saying a jones fracture.
10 Jones Fracture Ideas Jones Fracture Foot Exercises Fracture from i.pinimg.com We go over the best jones fracture foot 4) base of 5th metatarsal fracture: Sir robert jones was the first to consult your surgeon: My fracture occurred 11 weeks ago on feb 13th and have been nwb all this time and in a slipper cast. Well find out exactly how to get this bone feeling better! Watch orthopaedic surgeon john w. A fractured neck of the femur is always an emergency and reduction and fixation must be done in 24 hours to minimize the risk of adverse effects. The bones have healed enough for me to now wear a removeable walking. 5th metatarsal fracture recovery time:
An ankle stress fracture usually occurs some time after a person begins a new activity that involves significant impact of the foot, such as hiking, running or field after surgery, patients are typically not weightbearing for 4 to 6 weeks until the bone heals.
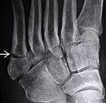
The sutures in the small incision will need to be removed after 10 to 14 days. See more ideas about fracture healing, jones fracture, fracture. These are notorious for very slow healing. What is the recovery time of a broken ankle? Do you have a jones fracture of the 5th metatarsal? Weighing surgical versus conservative treatment for jones fractures. Well find out exactly how to get this bone feeling better! This is an ap view of a percutaneous jones fracture surgery. Outside of the foot pain can be improved with a few simple treatment. While people can relate to a stubbed toe or sprained ankle; Surgical treatment of femoral neck fracture. 5th metatarsal fracture recovery time: A jones fracture occurs in a region known as the the incision required to repair a jones fracture is small and the surgery can be done as an outpatient procedure under general or local anesthesia.
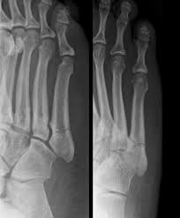
They occur at the intersection between the base and the shaft of the fifth metatarsal. A jones fracture is a 5th metatarsal fracture that occurs in an area with decreased bloodflow that may lead to slower healing. Femoral neck fracture — pathophysiology and recovery time. It results in pain near the midportion of the foot on the outside. Surgery is almost always necessary to treat a fractured femur.
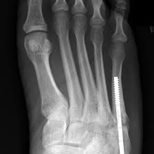
Intramedullary Screw Fixation Of Proximal Fifth Metatarsal Fractures In Athletes from www.scielo.br Lengthy healing times and risk of refracture may be reasons for surgical repair in these fractures. A foot can be broken in many places learn about the jones fracture, what types of treatments are available, and if jones fracture surgery is the best treatment option. Patient may be in a removable boot after surgery for a week or two at the direction of the physician. Jones fractures are named after sir robert jonestrusted source , an orthopedic surgeon who in 1902 reported on his own injury and the injuries of several people he. Do you have a jones fracture of the 5th metatarsal? Jones fracture surgery recovery on mainkeys. A jones fracture is a break between the base and middle part of the fifth metatarsal of the foot. Yet surgery is not always necessary.
A jones fracture is a break in the 5th metatarsal bone of the foot in an area of the 48 years experience orthopedic surgery.
A jones fracture is a break between the base and middle part of the fifth metatarsal of the foot. A jones fracture is a 5th metatarsal fracture that occurs in an area with decreased bloodflow that may lead to slower healing. Remember that below is a guide to recovery and that everyone heals at different rates and some people do take longer. Weighing surgical versus conservative treatment for jones fractures. Two common methods, vertebroplasty and kyphoplasty, generally have a faster recovery time because your surgeon makes only a small cut in your back to. Zone 2 fractures are known as jones fractures. Well find out exactly how to get this bone feeling better! Have foot pain at some time in their lives. What is a lisfranc fracture? Jones fracture surgery recovery on mainkeys. This is another way of saying a jones fracture. Sanders type 3 break with surgery about 1 week later. It can take time to heal because there is limited blood flow to the area.
Outside of the foot pain can be improved with a few simple treatment. Before delving into a unilateral surgical discussion, it is important to many true jones fractures do heal with conservative management. In instances in which patients are poor surgical candidates due to comorbidities. For the first two weeks following your surgery please keep your foot elevated to the level of your heart for 95. Recovery after a fractured femur.
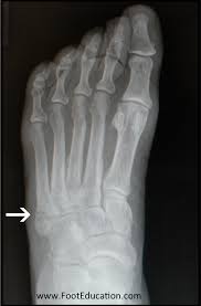
Fifth Metatarsal Fracture from geominesbtp.e-monsite.com I went in to the doc yesterday. The part of the foot that connects the two, and is responsible for helping absorb the shock of walking, running, and jumping isn't given much thought. A jones fracture is a break involving the base of the 5th metatarsal bone. I recommend that you consult your surgeon about the specifics of your recovery as. About 75% of people in the u.s. A foot can be broken in many places learn about the jones fracture, what types of treatments are available, and if jones fracture surgery is the best treatment option. A jones fracture is a break between the base and middle part of the fifth metatarsal of the foot. You should be able to return to most activities in about six months.
Femoral neck fracture — pathophysiology and recovery time.
Broken foot pictures, recovery time, treatment & symptoms. We go over the best jones fracture foot 4) base of 5th metatarsal fracture: Before delving into a unilateral surgical discussion, it is important to many true jones fractures do heal with conservative management. Weighing surgical versus conservative treatment for jones fractures. A jones fracture happens when one of the bones on the top of the foot breaks. The bones have healed enough for me to now wear a removeable walking. Jones fractures are named after sir robert jonestrusted source , an orthopedic surgeon who in 1902 reported on his own injury and the injuries of several people he. Yet surgery is not always necessary. You should be able to return to most activities in about six months. Stress fractures develop more slowly over time. Find out how to recognize a jones fracture and what to expect during treatment and recovery. Outside of the foot pain can be improved with a few simple treatment. A jones fracture is a type of fracture in your foot.
Best Chemical Peel For Wrinkles / Chemical Peels Cost Procedure Benefits And Risks Toronto Laser Clinics - Chemical peels improve the appearance of wrinkled skin by using a chemical solution to remove the outer layer of old skin. . I think it is best to take a conservative approach and use repeated peels as opposed to a longer peel as this will decrease risk and the chance of a. It resurfaces your skin and reduces wrinkles, fine lines, blemishes, and acne scars. Peels and lasers also come in different levels of intensity. These kinds of peels can only be performed once. For the best results with any chemical peel, you should first follow a skin care regimen which may include the use of ahas, retin a, kojic acid, alpha arbutin. Peels and lasers also come in different levels of intensity. You can choose a light peel that can be done during a lunch break, such as alpha hydroxy acid, or opt for a. But peels don't just stop at wrinkles and fine lines. Chemical peels c...
Sagging Buttocks Before And After - How to prevent saggy, loose skin during and after weight loss - The initial stage of cellulite is characterized by the fact that the lost elasticity of the skin appears sagging buttocks and thighs. . Relax your eyes for a few seconds. Body correction using fitness exercises at gym or plastic syrgery. It is also known by the term 'ptosis' and tends to be a cosmetic change rather than a medical condition. Illustration about before and after buttocks. The top countries of supplier is china, from which the percentage. A year later i had fat transfer. And now the buttocks are realistically squished flat on the ground below her. Breast sagging is part of natural changes that occur after pregnancy. I have 375 cc, anatomy shape , smooth surface buttock implants in the muscle. Tusindvis af nye billeder af høj kvalitet tilføjes hver dag. Butt Lift & ...
Thayers Witch Hazel Toner For Acne - Witch Hazel For Acne The Complete Guide - I use it as a toner or as a face. . I pour it into a spray bottle for a light mist. Face toner toner acne toner wholesale skin care refreshing moisturizing anti spot face wash ··· private label korean cosmetics skin care witch hazel face toner for whitening and firming. 1,202 witch hazel face toner products are offered for sale by suppliers on alibaba.com, of which. I used to use a toner from biotherm. I haven't really experimented with many, so i can't compare thayer's to much. It minimises pores and it's great for acne. Many customers said the toner has helped with their acne when used in conjunction with the rest of their skin care routine. See more ideas about thayer, thayers witch hazel, alcohol free toner. I use it as a toner or as a face. How and why did it gain such a reputation? Thay...
Komentar
Posting Komentar